İlerleyen teknoloji ile görüntüleme teknikleri ilerlediği gibi diş görüntüleme seçenekleri de artmıştır. Bu ilerleyen teknoloji ile dişteki sorunları görmek tedaviyi daha kolaylaştıracak, daha iyi sonuçlar alınmasını sağlayacaktır. Film ile diş ve çenedeki patolojik görünüm elde edilir. Röntgen ile alt ve üst çenelerdeki oluşumlar ve en küçük detaylar rahatlıkla görülebilir. Tedavi yolunun belirlenmesi için ilk muayeneden sonra çekilmesi önerilir.
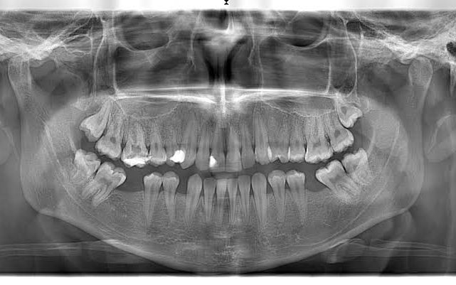
Panoramik Röntgen Nasıl Çekilir?
İlk olarak röntgen odasına alınan hastanın çenesi röntgen cihazının baş kısmına yerleştirilir. Baş kısmını iki kısımdan oluşan ince bir aparat çevreler. Tüm düzenlemeler ve ayarlamalar yapıldıktan sonra kafa etrafında dönen cihaz aldığı görüntüleri bilgisayara iletir. Böylelikle görüntüleme işlemi yapılmış olur.
Panoramik Röntgenler İle Radyasyon Değerleri Nasıldır?
Gelişmiş teknoloji ile radyasyon değerleri minimum düzeye indirilir. Panoramik röntgenler ile en iyi ve en sağlıklı sonuçlar alınır.
Hamileyim Panoramik Röntgen Çektirebilir Miyim?
Hamilelik döneminde bilinen diğer röntgenler gibi diş tedavileri öncesinde uygulanacak röntgenlerinde çekilmemesini öneriyoruz. Bu sebeple panoramik röntgenlerin çekimini hamilelik planlaması yaparken dişlerinin muayenelerini yaptırmalı, röntgenlerini çektirmelidirler. Bu gibi dental muayenelerini ve röntgenlerini hamilelik dönemine bırakmamalıdırlar. Hamilelik dönemi öncesi çekilen röntgen hamilelik süresince oluşacak olan diş rahatsızlıklarında yardımcı olacaktır.

