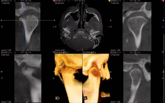
Temporomandibular eklem hastalıklarının kesin teşhisi için, TME’nin kemiksel bileşenlerinin bütünlüğünü ve birbirleri ile olan ilişkilerini değerlendirebilmelerini sağlayan, eklem hastalığının büyümesi veya ilerlemesinin doğrulanması ve tedavinin etkisinin değerlendirilmesinde kullanılan bir grafi yontemıdır.

