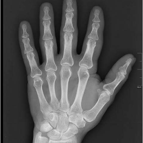
The knowledge of the skeletal maturation and the stage of the growth of the patients seeking orthodontic treatment are of great value in planning efficient orthodontic therapy. However, different craniofacial structures of patient show variation in growth potential. The routine use of hand-wrist radiograph for growth prediction exposes the patient to extra radiation. Cervical vertebrae in the lateral cephalograph have been recommended as an alternative method. The pubertal growth spurt is a vital period in the orthodontic treatment and should be kept in mind when planning orthodontic treatment in growing children. One of the main objectives of taking hand and wrist radiograph is to determine the amount of growth and get used of it in patients with skeletal discrepancy during adolescence. Further, this will help in the selection of the appliances required, the course of the treatment and the retention after active orthodontic therapy.

