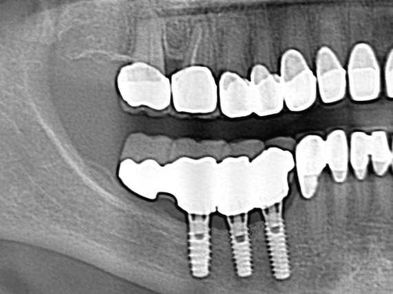
Inferior alveolar nerve lateralization and transposition in combination with the installation of dental implants is sometimes the only possible procedure to help patients to obtain a fixed prosthesis, in edentulous atrophic posterior mandibles. With careful pre-operative surgical and prosthetic planning, imaging, and extremely precise surgical technique, this procedure can be successfully used for implant placement in edentulous posterior mandibular segments.
In the above x-ray, you can see the mandibular nerve transposition and inserted implants in our patient.

